症例|松本市の歯医者・歯科|平沼歯科医院|痛みに配慮した治療と丁寧なカウンセリング

ご予約・お問い合わせ

0263-34-3111

〒390-0806 長野県松本市女鳥羽2丁目1−3 アザレアライン女鳥羽交差点を北上徒歩3分

9:00-13:00 / 14:00-18:00 土曜午前診療、木・日祝休診・祝日のある週は木曜診療

症例

症例|松本市の歯医者・歯科|平沼歯科医院|痛みに配慮した治療と丁寧なカウンセリング

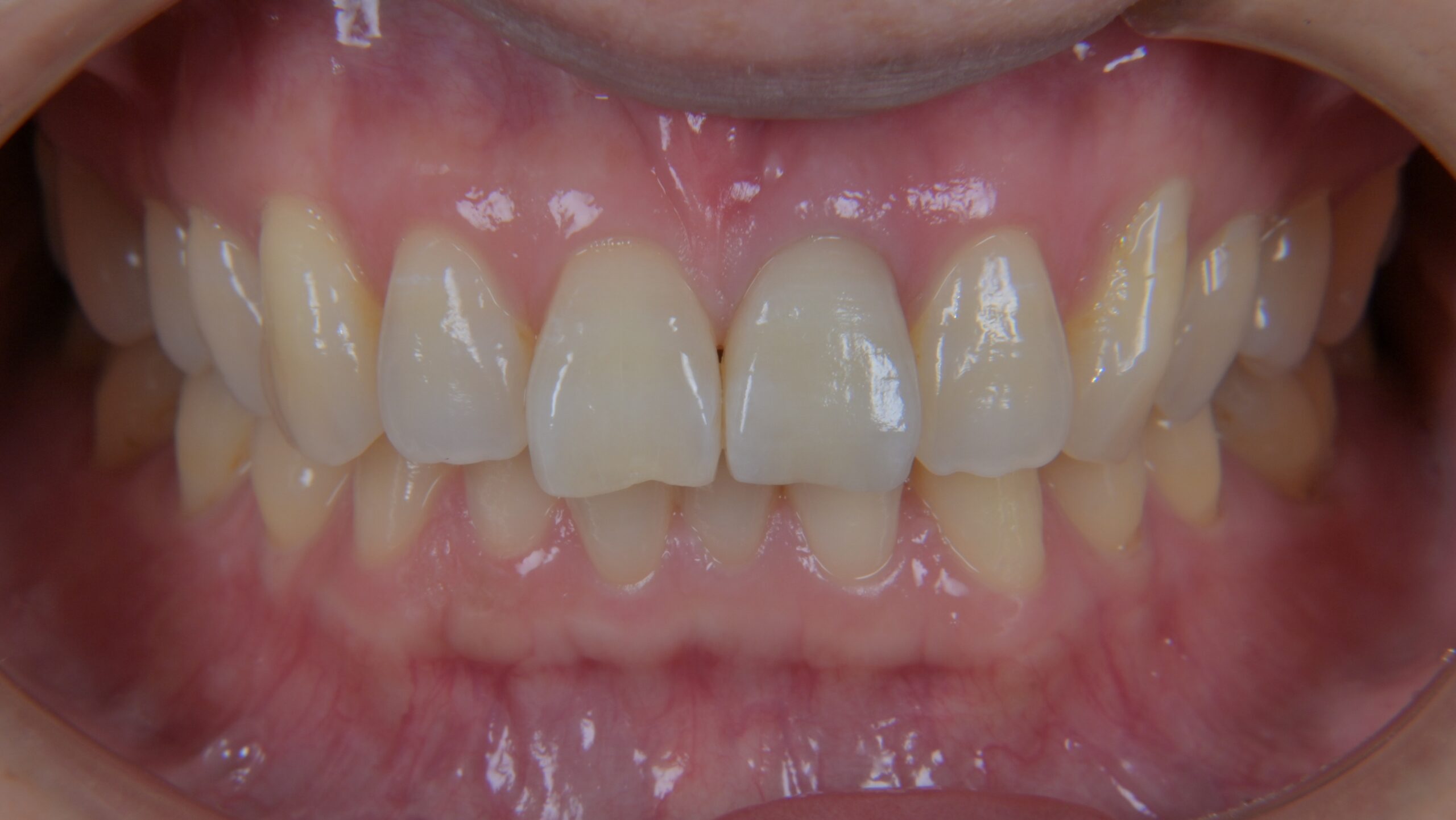
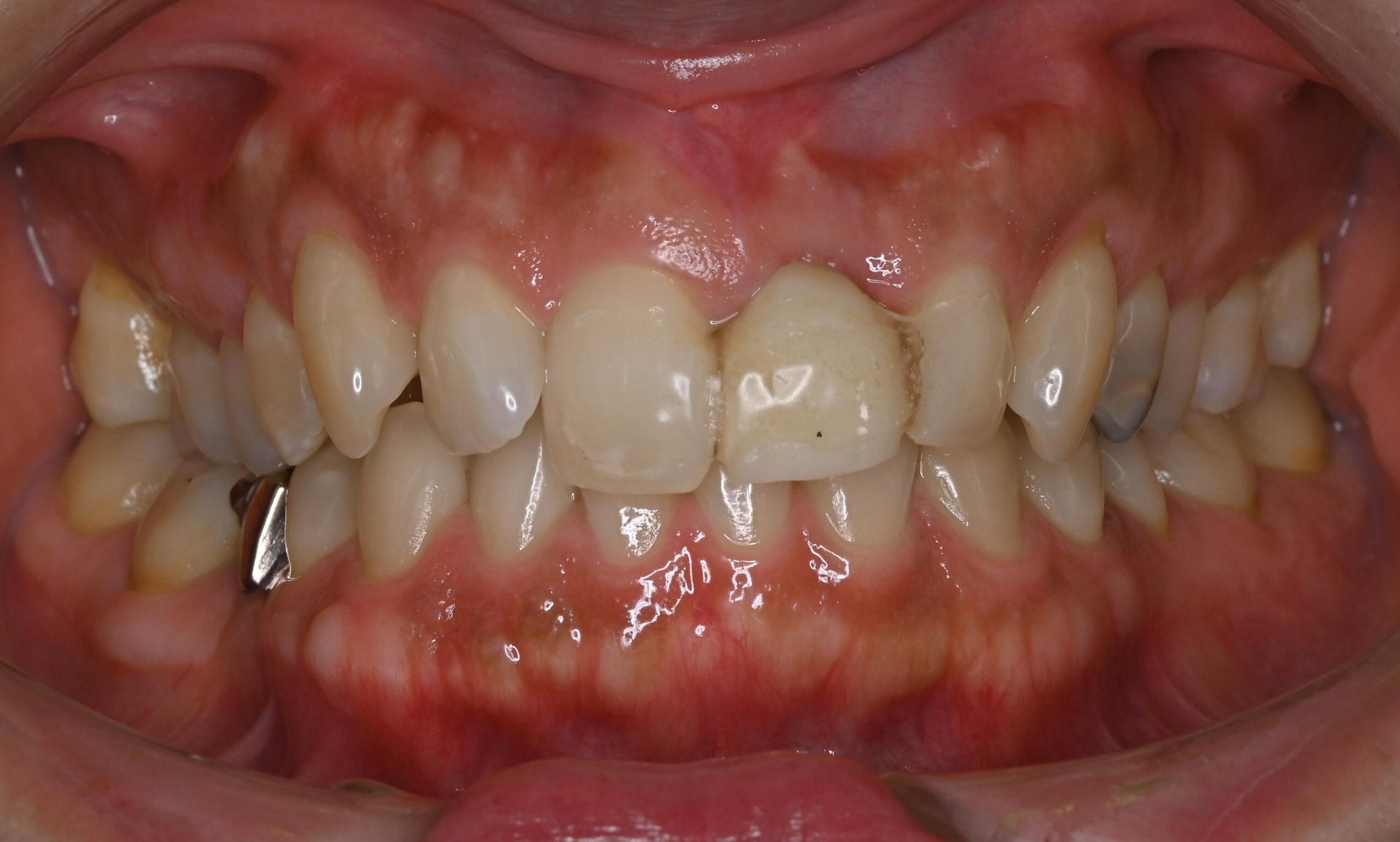
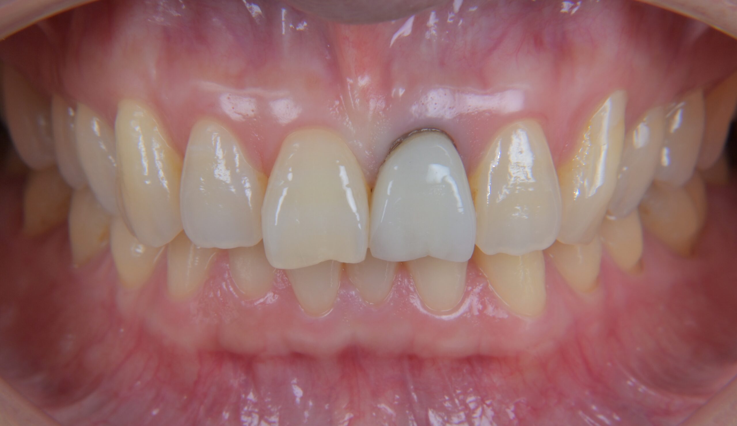
前歯のジルコニアクラウン症例

Before

After

治療内容
左上1番の被せ物に色の違いや、段差があるのが気になる為やり変えを希望されました。
古い被せ物を除去し、1回目の仮歯に置き換えます。
患者様と相談し形態を修正し、2回目の仮歯に移行します。
その後、最終的な被せ物を作るための型取りを行います。
最終的にジルコニアクラウンにて被せ物を接着しました。

担当歯科医師:平沼 佳朗
治療期間・回数
約3回
費用
¥154,000
リスク・副作用
ごく稀にジルコニアクラウンの先端が割れることがあります。

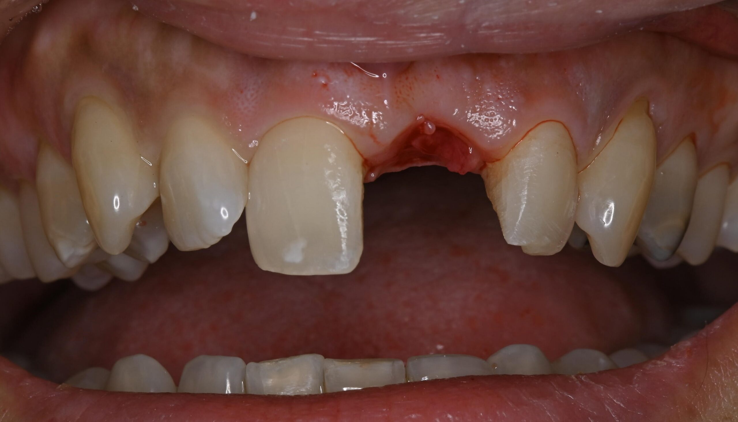
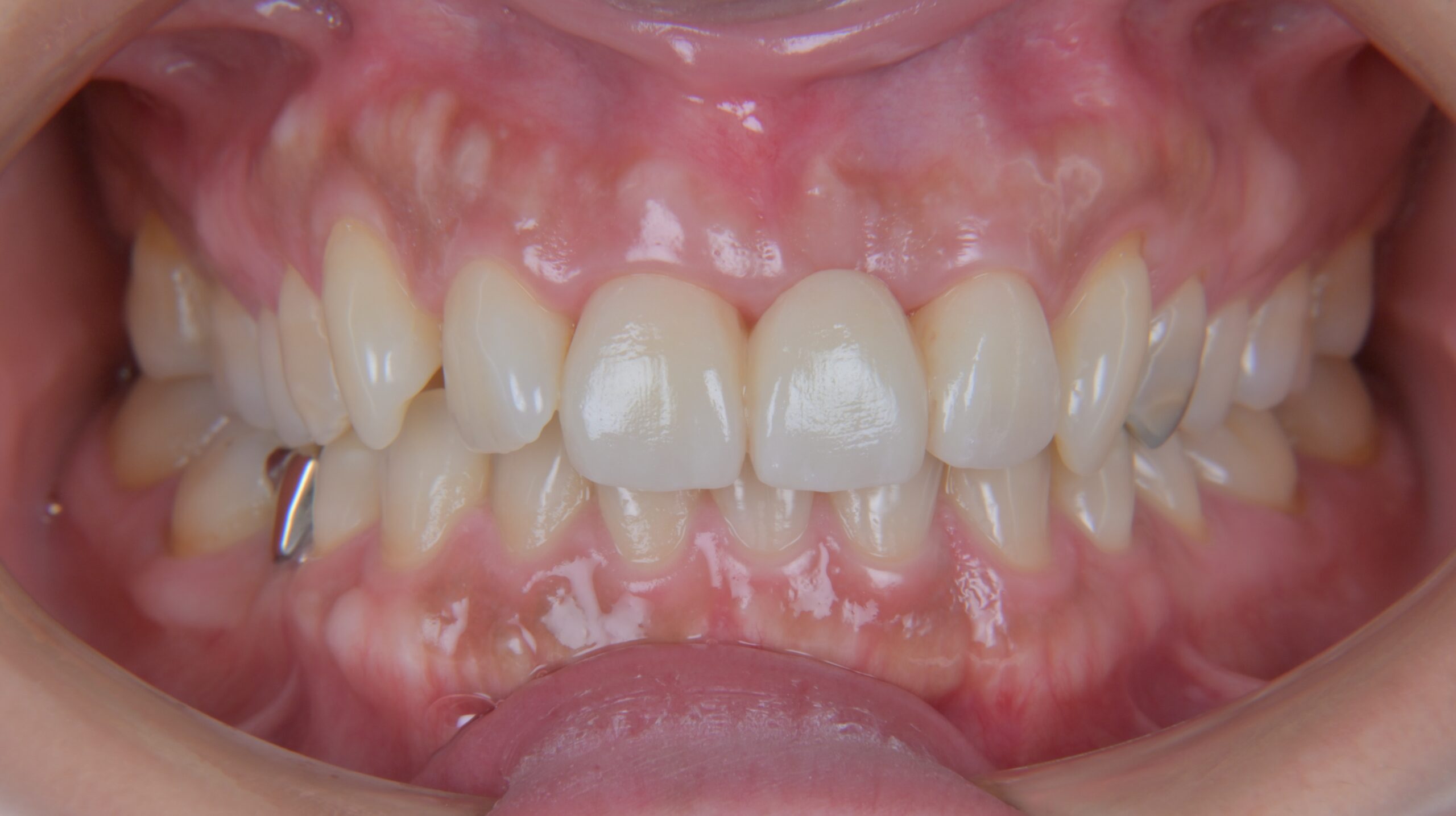
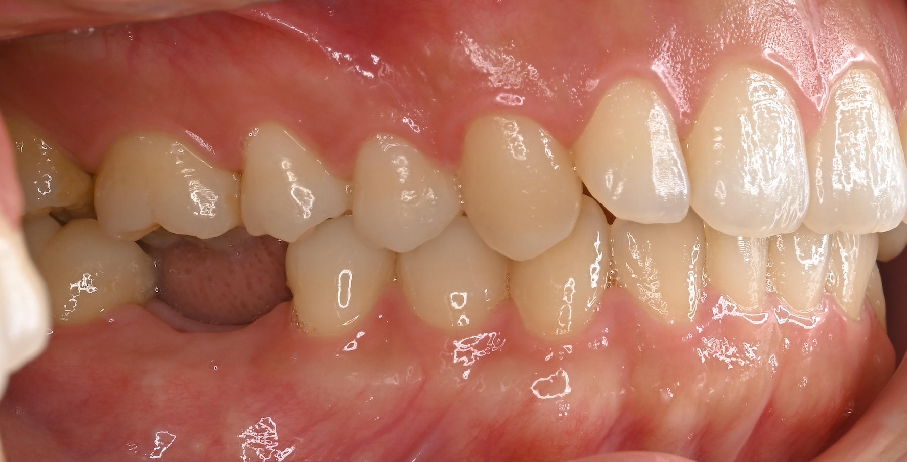
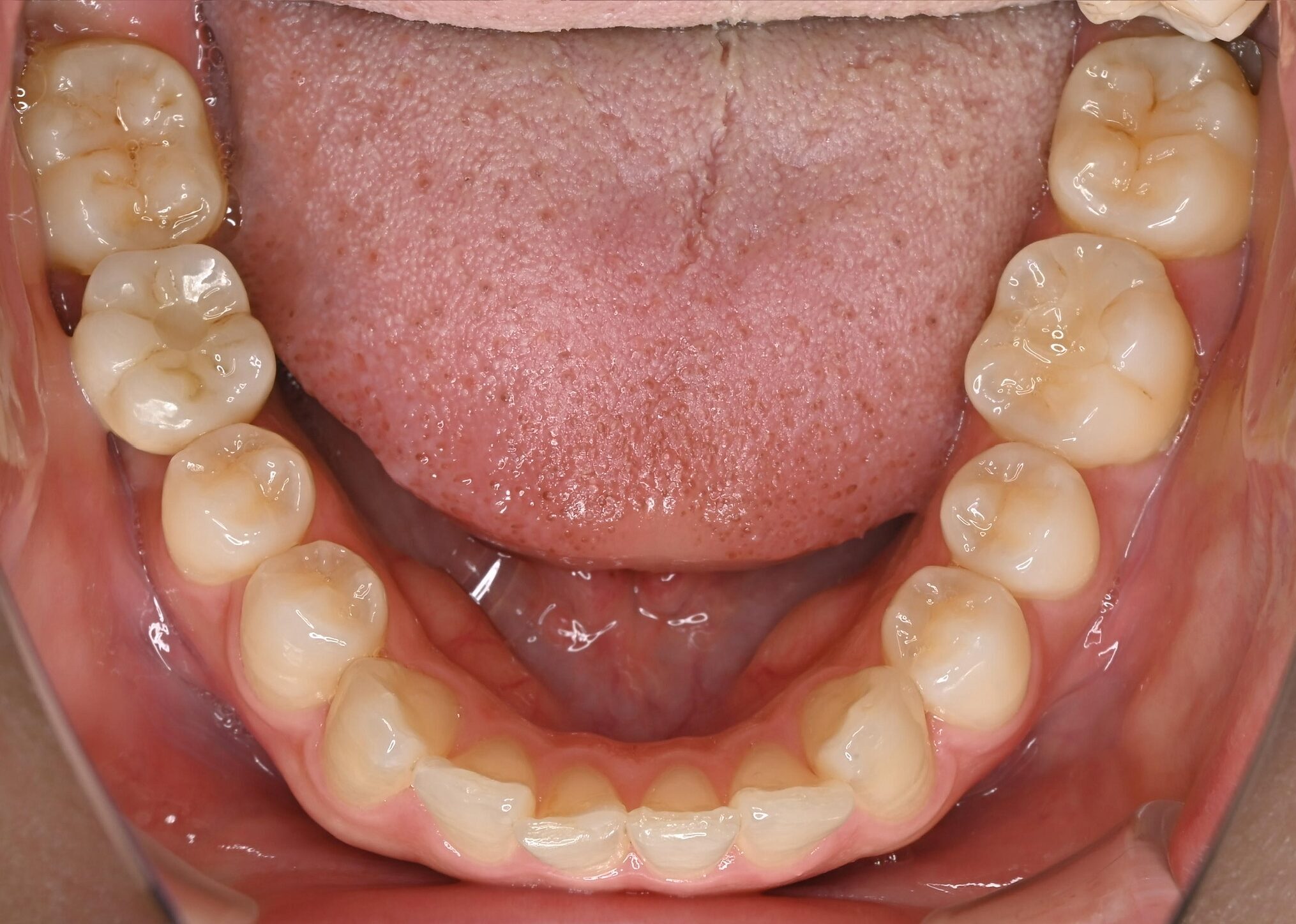
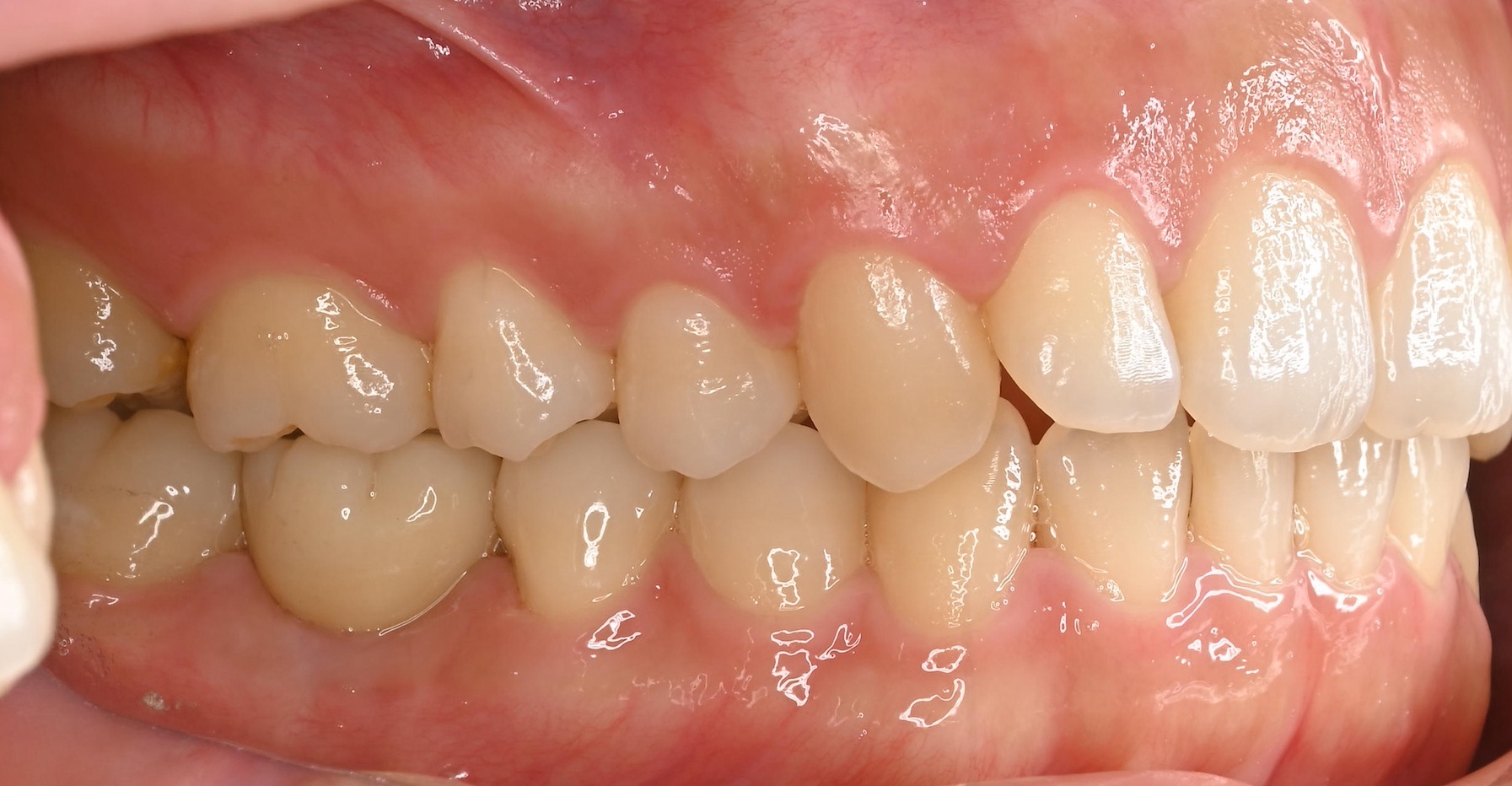
ジルコニアブリッジの症例

Before

After

  • After
治療内容
左上1番を他院にて抜歯し、仮歯をボンドで固定された状態で来院されました。
歯を失ったところをブリッジで治す計画をたて、審美的な補綴を目指すためにホワイトニングから行いました。
最終的にジルコニアのブリッジを接着しました。

担当歯科医師:平沼 佳朗
治療期間・回数
約4回
費用
¥462,000
リスク・副作用
ごく稀にジルコニアの先端が割れることがあります。

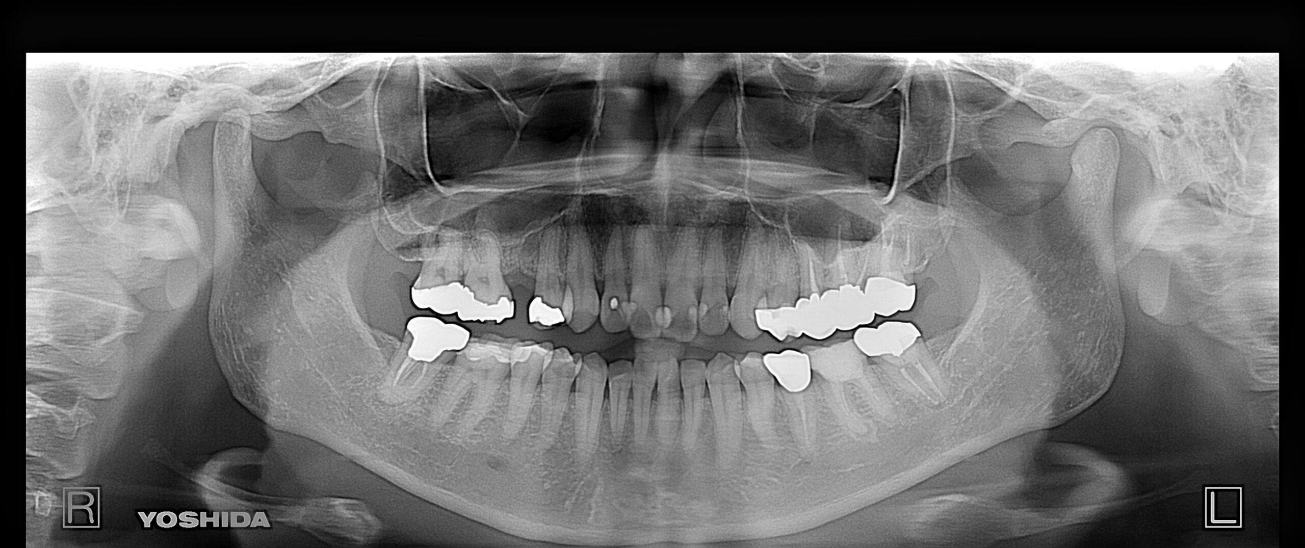
右下奥歯のインプラント症例

Before

  • 右下6番欠損です。
  • インプラントを埋入するのと同時にヒーリングキャップを取り付けました。

After

治療内容
右下の奥歯を根の先の膿が原因で抜歯された患者様です。
ブリッジ治療では両隣の歯を大きく削らないといけない為、インプラント治療を希望されました。
骨の治り方が歪で、頬側の骨が大きく足りないため骨造成を行い、インプラントを埋入した日にヒーリングキャップを装着し、インプラントが骨と結合するまで待ちます。
その後、型取りをし被せ物をスクリューにて装着しています。

担当歯科医師:平沼 佳朗
治療期間・回数
約10か月
費用
骨造成込み ¥616,000
リスク・副作用
術後に痛みや腫れ、出血を伴います。
口腔内の清掃不良によりインプラントの歯周病(インプラント周囲炎)になる可能性があります。定期的なメインテナンスが必要です。

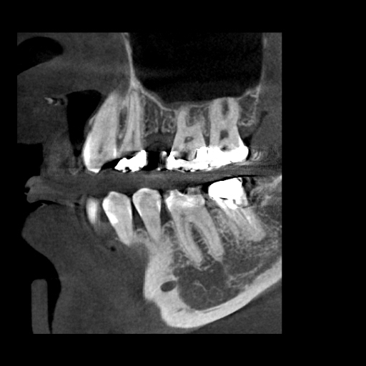
右上インプラント治療に伴うサイナスリフトの症例

Before

After

治療内容
右上の5番を抜歯され、インプラント治療を希望された患者様です。
副鼻腔があり、インプラントを埋入するための骨の量が足りないため、副鼻腔に骨を作る処置(サイナスリフト)を行い、同時にインプラント埋入しました。
理想的な位置にインプラントを埋入することができ、長期予後を獲得することができます。

担当歯科医師:平沼 佳朗
治療期間・回数
約10か月
費用
サイナスリフト込み¥671,000
リスク・副作用
術後に痛みや腫れ、出血を伴います。
口腔内の清掃不良によりインプラントの歯周病(インプラント周囲炎)になる可能性があります。定期的なメインテナンスが必要です。
PAGETOP